עמוד הבית » יישור שיניים שקוף: פתרון נוח ומהיר לשיניים ישרות ויפות – רשת Wesmile, המובילה בישראל!

יישור שיניים שקוף: פתרון נוח ומהיר לשיניים ישרות ויפות – רשת Wesmile, המובילה בישראל!

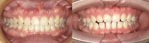
צילום: wesmile
רשת Wesmile, המובילה בתחום יישור השיניים השקוף בישראל, מציעה לכם טיפול מקצועי, יעיל ונוח באמצעות קשתיות שקופות של Invisalign. צוות המומחים שלנו ילווה אתכם לאורך כל התהליך, מהבדיקה ועד לקבלת התוצאות המושלמות.

מה זה יישור שיניים שקוף?

יישור שיניים שקוף נעשה באמצעות קשתיות שקופות ודקות הניתנות להסרה, המותאמות אישית לכל מטופל באמצעות הדפסה תלת-מימדית. הקשתיות מפעילות לחץ עדין ומבוקר על השיניים, ומזיזות אותן בהדרגה עד ליישור מלא ללא כאב.

יתרונות יישור שיניים שקוף:

  • בלתי נראה: הקשתיות שקופות כמעט לחלוטין, כך שאף אחד לא ישים לב שאתם עוברים טיפול יישור שיניים.
  • נוח: הקשתיות ניתנות להסרה, מה שמאפשר לכם לאכול, לשתות ולצחצח שיניים ללא הפרעה.
  • מדויק: הטיפול מתוכנן מראש באמצעות מודלים ממוחשבים, מה שמבטיח תוצאות מדויקות ויעילות.
  • מהיר: משך הטיפול קצר משמעותית בהשוואה ליישור שיניים באמצעות גשר מתכתי.
  • קל לתחזוקה: אין צורך להגיע לרופא לעיתים קרובות, והקשתיות קלות לניקוי.

 

למי מתאים יישור שיניים שקוף?

יישור שיניים שקוף מתאים למגוון רחב של בעיות, ביניהן:

  • צפיפות שיניים
  • רווחים בין השיניים
  • שיניים בולטות
  • סגר לא תקין
  • לסת בולטת או נסוגה.

 

קשתיות שקופות מבית אינויזיליין Invisalign
זה יראה ככה: צילום בית אינוזלייןהליך הטיפול:

  1. בדיקת התאמה: תחילה, תצטרכו לעבור בדיקה אצל רופא אורתודנט מוסמך מומחה בקשתיות שקופות של Invisalign כדי לוודא שיישור שיניים שקוף מתאים לכם.
  2. סריקה תלת-ממדית: לאחר מכן, תתבצע סריקה תלת-ממדית של השיניים שלכם.
  3. תכנון טיפול: צוות רפואי מומחה ליישור שיניים שקוף של Invisalign יבנה לכם תוכנית טיפול מותאמת אישית.
  4. ייצור קשתיות: קשתיות שקופות יותאמו אישית עבורכם וייוצרו בדיוק מושלם לשיניים שלכם.
  5. הרכבת הקשתיות: תקבלו את הקשתיות ותתחילו להרכיב אותן 20-22 שעות ביממה.
  6. מעקב וביקורות: תצטרכו להגיע לביקורות אצל רופא האורתודנט המומחה שלנו באופן קבוע.

משך הטיפול:

משך הטיפול משתנה בהתאם למצב הפה שלכם. טיפול קצר יארך בממוצע 6-8 חודשים, בעוד שטיפול ארוך ומלא עשוי לקחת למעלה משנה.

עלויות:

עלות יישור שיניים שקוף גבוהה יותר מגשר מתכתי רגיל. טווח המחירים נע בין 12,900 ל-21,900 ש”ח, כתלות במורכבות המקרה ובמשך הטיפול.

שיתוף פעולה:

הצלחת הטיפול תלויה במידה רבה בשיתוף הפעולה של המטופל. יש להקפיד על הרכבת הקשתיות 20-22 שעות ביממה, להסיר אותן רק לאכילה, שתייה וצחצוח שיניים, ולשמור על השיניים והפלטות נקיות.

 

רוצים חיוך יפה ובריא מבלי להתפשר?

לפרטים נוספים ולמילוי שאלון התאמה אונליין, היכנסו לאתר שלנו: https://wesmile.co.il.

כתבה זו נכתבה בשיתוף פעולה עם רשת Wesmile המובילה בתחום יישור השיניים השקוף בישראל.

 

תגיות